Ashamed of hiding your smile because of worn-out, missing, or damaged teeth? At Bloom Dental and Aesthetics in Biratnagar, Nepal, we’re here to give your entire mouth a makeover with full mouth rehabilitation. This isn’t just a dental fix—it’s a life-changer that brings back your confidence to laugh over chiya with friends or dig into your favorite sel roti at Dashain. Our expert team uses cutting-edge tech and a whole lot of heart to make it comfortable and stress-free. Let’s rebuild your smile, your way!

What is Full Mouth Rehabilitation?
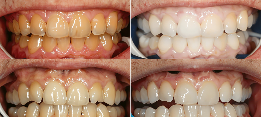
Full mouth rehabilitation is like a complete renovation for your smile. It’s a customized plan that combines treatments—like crowns, bridges, implants, or fillings—to fix multiple dental issues at once. Whether your teeth are worn down from years of grinding, damaged by decay, or missing entirely, we restore your bite, function, and beauty. Think of it as giving your mouth a fresh start, tailored just for you.
Signs You Might Need Full Mouth Rehabilitation
Not sure if this is for you? Here’s when it might be time to consider it:
- Multiple teeth that are cracked, chipped, or worn down
- Missing teeth making it hard to chew or speak clearly
- Chronic jaw pain or headaches from a misaligned bite
- Feeling embarrassed about your smile when you’re out in Biratnagar’s bustling markets
If any of these hit home, don’t worry—connect with us! We’ll create a plan to make your smile shine again.
The Process: What to Expect
At Bloom Dental, we make full mouth rehabilitation feel like a journey to a better you. Here’s how it works:
- Your Smile, Your Plan: We’ll sit down, check your teeth, take X-rays, and design a custom treatment just for you.
- Comfy Start: A little numbing keeps you relaxed as we prep your teeth for restorations.
- Custom Creations: We craft crowns, bridges, or implants that fit your mouth perfectly, using impressions or digital scans.
- Expert Craftsmanship: Our lab uses top-quality materials to make your new smile look natural and feel amazing.
- Final Flourish: We place your restorations, fine-tune your bite, and ensure everything feels just right.
You’ll leave our clinic ready to show off a strong, gorgeous smile that’s built to last!
Benefits of Full Mouth Rehabilitation
- Smile with Pride: No more hiding—your smile will steal the show!
- Eat with Ease: Enjoy momos, dal bhat, or anything else without pain or struggle.
- Feel Better: Fix jaw pain and headaches by aligning your bite.
- Lasting Results: With care, your new smile can shine for decades.
Aftercare Tips
Your revamped smile is tough, but a little TLC keeps it sparkling:
- Expect some sensitivity for a few days—paracetamol will do the trick.
- Brush and floss daily, giving extra care to your new restorations.
- Avoid crunching on super hard foods (like raw betel nuts) to protect your work.
- Visit us regularly in Biratnagar to keep your smile in top shape.
Why Bloom Dental and Aesthetics?
We’re not just any dental clinic—we’re your smile’s biggest fans, right here in Nepal. Here’s why you’ll love us:
- True Pros: Our dentists are masters at rebuilding smiles with precision.
- High-Tech, Big Heart: We blend the latest tech with a warm, welcoming vibe.
- All About You: Your treatment is designed for your unique needs and goals.
- Biratnagar’s Favorite: We’ve transformed countless smiles across Nepal’s eastern hub.
Ready to Transform Your Smile?
Imagine laughing freely with friends, savoring every bite of your favorite foods, and feeling proud of your smile. At Bloom Dental and Aesthetics in Biratnagar, we’re ready to make that happen. Search “dentist near me” or give us a call today—let’s team up to create a smile that lights up every moment, from morning chiya to late-night chats!